Нашите честоти
90.2 MHz
SMS поздрави

Петрич (5105)

Въпреки, че общините не са двигател за намаляване на безработицата, Общинска администрация - Петрич предприема мерки за развитието на този процес. Това заяви кметът на общината Вельо Илиев, визирайки предстоящото изграждане на цялостна канализация в селата Михнево и Габрене и подмяна на водопровода в Рупите и Марикостиново. До няколко месеца ще приключат и процедурите, предшестващи строителството на пречиствателна станция на отпадъчни води край Петрич. Същевременно стана ясно, че в общината има ръст на безработицата за изминалата година, възлизащ на 11,5%.

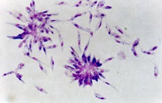
Няколко петричани са заболели от висцерална лайшманиоза, съобщи за радио Белла заместник-кметът по здравеопазване и хуманитарни дейности в община Петрич д-р Николай Георгиев. Инфекцията се предава от комари, които на територията на България са характерни само за община Петрич. В тази връзка ще бъде потърсено съдействие от Регионалната здравна инспекция в Благоевград относно борбата с разпространението на болестта.
Повече подробности за висцералната лашманиоза чуйте от заместник-кмета на община Петрич, д-р Николай Георгиев и ветернирания лекар д-р Никола Бурсуклиев:
Има надежда за малката Ивана Караколева! От болницата в Израел обявиха необходимата за лечението сума
От Manager
Семейството на Ивана Караколева от Петрич, която е с диагнозата детска церебрална парализа – квадри пареза и се нуждае от лечение в Израел, вече е получило официален отговор от Университетската болница Адаса в Йерусалим. Майката на детето Вангелия Караколева ни уведоми, че от болницата в Израел са заявили, че за лечението на Ивана ще бъдат необходими 70 000 лева, като до момента са събрани около 10 000 лева. На първо време ще бъде съставена оценка на състоянието на детето, като необходимата сума за това е около 5 500 долара, а отделно се заплащат и по 1900 долара на ден за хоспитализацията на Ивана. Напомняме, че радио Белла организира кампания в помощ на семейството. Нека дадем надежда на родителите, че ще чуята своята малка принцеса да казва първите си думички и да прави първите си стъпки.
Банкова сметка за набиране на необходимите за лечението средства:
Банка „ОББ”
BG53UBBS80021091419830
Пътят за гробищния парк в село Първомай е пропаднал вследствие на придошлата река Рибнишка. Това съобщи кметът на селото Методи Попов. Водната стихия е отнесла един от водостоците с тръбите, под които минава реката. Така селото е откъснато от гробищния парк и достъпът до него стана неъзможен. След утихване на водите през последните 2 дни, днес започнаха спешни строителни работи. Ангажирани са техника и хора от временната трудова заетост. До края на днешния ден пътят трябва да бъде възстановен, а обстановката - нормализирана, увери Попов.

Тази сутрин в Петрич стартира обучение за длъжност "болногледач". Това съобщи директорът на Бюрото по труда в южния град - Филка Чаушева. В курса са включени 16 безработни лица. След обучението 12 от тях ще останат със сключени трудови договори в Многопрофилна болница за активно лечение – Рокфелер.
Направиха първа копка на обект към детската градина в Кавракирово
От Manager
По-рано днес бе направена първа копка на нова двуетажна постройка към съществуващата детска градина в петричкото село Кавракирово. Целта на проекта е в сградата да се настанят две детски групи от 26 деца, които ще бъдат сформирани от малцинствени и рискови групи. С тази цел ще бъдат обособени и четири лекарски кабинета в сградата на бившето Aкушеро-гинекологично отделение в pетричката болница. Проектът е финансиран от Световната банка и е на стойност близо 900 000 лева.
Повече подробности чуйте от кмета на община Петрич инженер Вельо Илиев:

Младите рокаджии от Metal Heart ни гостуваха в студиото на радио Белла. Чуйте разговора ни с тях и три от авторските им парчета!

Петрич отбеляза националния празник с официално честване по традиция в градинката пред паметника на загиналите за Родината. По същото време пред паметника на Антон Попов започна протестния митинг срещу монополите. На него се събраха над 200 души, които развяваха българския трикольор и пееха възрожденски песни. За четвърти път протестиращите казаха на висок глас своето категорично Не! на монопола на ЧЕЗ. И този път обаче недоволството се насочи и към местната управа, към лошото състояние на пътищата в общината, към липсата на контрол върху дейността на незаконните таксита в града. Предложено бе да се създаде местен съвет за контрол върху дейността на Общинската администрация и местния парламент. В изказванията бяха отправени упреци към правителството в оставка свързани главно с високомерния стил на управление и голямата безработица. По време на протеста имаше опит за саботаж, който създаде за кратко технически затруднения пред организаторите. Проблемът бе разрешен, а гневът на протестиращите се сведе само до символично хвърляне на жълти стотинки. Организаторите на протестния митинг предварително бяха призовали протестиращите да не се подават на провокации и за чест на петричани никой не направи опит да опорочи официалното честване на националния празник. Стотици граждани, представители на местната власт, политици, ученици, ветерани от войните и др. склониха глава в знак на признателност пред загиналите за свободата на България. Изнесен бе поетичен рецитал подготвен от Общински детски комплекс в града. В церемонията по поднасяне на цвята по традиция участва и радио Белла, което днес чества своята 19 годишнина. Десетки поздрави получи екипът на радиото,което отдавна сеепревърнало в един от символите на града.
Младежкият парламент при ОДК-Петрич раздаде над 100 мартенички на петричани
От Manager
Над 100 мартеници раздадоха днес на граждани в Петрич членове на Младежки общински съвет към Общински детски комплекс. Акцията премина под мотото "Скъсай цигара - получи мартеничка". Идеята на инициативата е поне на този ден да се намали тютюнопушенето, поясниха организаторите. Освен това с празнична програма в залата на общината, деца от основните училища честитиха Баба Марта на кмета на общината Вельо Илиев, председателя на Общинския съвет Димитър Танев, общински съветници и служители. От своя страна от Общината дариха децата с мартеници.
Над 1000 декара обработваема земя е залята от река Струмешница
От Manager
Кметът на община Петрич Вельо Илиев е разпоредил специалисти да огледат и оценят пораженията, нанесени от придошлата река Струмешница, най-вече в района на село Струмешница. Той лично е посетил селото и на място се е запознал с обстановката. Над 1 000 декара обработваема земя е под водата, а двата моста за достъп до нивите са разрушени. По думите на кмета на Струмешница Николай Дзаков такова наводнение не е имало от 50 години. За преливането на реката са допринесли и вливащите се в нея потоци от двете планини- Беласица и Огражден.



